[4]マウスピース矯正症例|10代女性・出っ歯|佐賀市
佐賀県佐賀市で歯列矯正をおこなっているスマイル髙城歯科です。当院でのマウスピース矯正治療の症例をご紹介します。
主訴


- 前歯が前に出ている
- 横顔の突出感が気になる
- 口を閉じたときに唇が閉じにくくい
所見
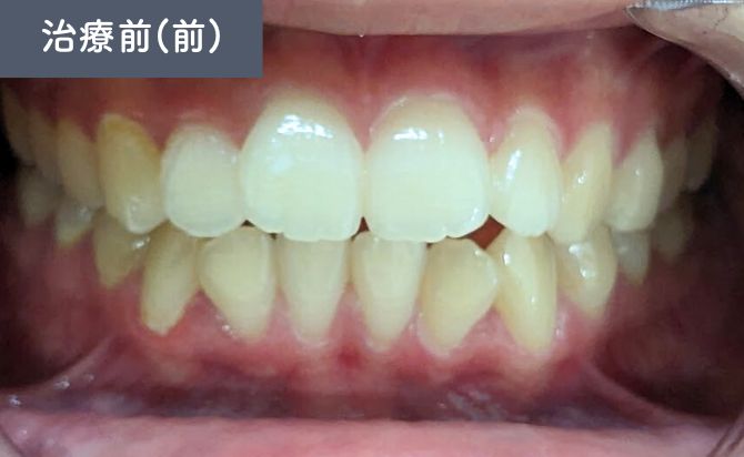
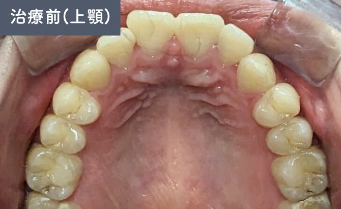
口元の評価では、上顎前歯の前方位が認められ、軽度〜中等度の上下顎前突(出っ歯) が確認されました。
前歯の傾斜が強く、上唇の突出感にも影響していましたが、歯列全体のスペース不足は軽度であり、非抜歯での整列および前方位の改善が可能な状態 と判断しました。
咬合に大きな異常はなく、アライナーでのコントロールが適切におこなえる症例と判断しました。
治療概要
治療計画

IPR(歯と歯の間をわずかに削ってスペースを確保する処置)を適宜行い、前歯の傾斜を後方へコントロールする計画としました。
アタッチメントを併用し、前歯のトルクコントロール(傾きの調整)と全体的なアーチの整列を行い、口元の突出感を軽減することを主な治療目標 としています。
- 使用装置:クリアコレクト
- 抜歯部位:なし
- 費用:448,000円(モニター価格)
費用補足:
別途診察料3,500円と事前シミュレーション料18,500円が必要です。
リスク:
マウスピース装着による不快感・痛み、歯根吸収等の副作用があります。矯正後に後戻りすることがあります。
治療経過
計画に沿ってIPRとアタッチメントの装着を行い、アライナーの交換も適切な頻度で管理できていました。
アライナーの装着時間も良好で、治療の進行に大きな問題はありませんでした。
- 治療期間:6か月
- 通院頻度:月1回程度
治療結果

治療終了時には、上顎前歯の前突が改善し、
唇元の突出感が軽減したことで横顔のバランスも向上しました。
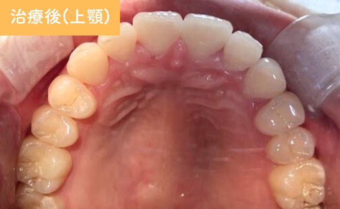
歯列全体のアーチも整い、前歯の噛み合わせが適切な位置に改善。見た目だけでなく、機能的にも安定した咬合が得られています。
現在は、後戻り防止のためリテーナー(保定装置)を使用していただき、経過観察を続けています。
歯並びの変化
Before/After
歯並びの変化(正面)


歯並びの変化(右)


歯並びの変化(左)


歯並びの変化(上)


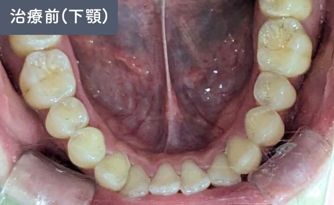
歯並びの変化(下)


佐賀県佐賀市
マウスピース矯正16.8万円~
お気軽にご相談ください

スマイル髙城歯科では、豊富なマウスピース矯正の実績をもとに、軽度から重度までさまざまな歯並びの治療をおこなっています。
当院実績
・クリアコレクト全国症例数第3位
・シュアスマイル全国症例数第1位
・年間の矯正相談者数約600人
・マウスピース矯正症例数約1,000件
歯列矯正をご検討中でしたら、ぜひ一度当院に無料相談にいらしてください。歯並びに合った治療プランをご提案いたします。
- マウスピース矯正 症例写真
-
Before
After
Before
After
Before
After
Before
After
Before
After - 施術名
- マウスピース矯正
- 治療費用
- 一式168,000円~738,000円程度
- ※別途診察料3,500円と事前シミュレーション料18,500円が必要です。
- リスク
- マウスピース装着による不快感・痛み、歯根吸収等の副作用があります。矯正後に後戻りすることがあります。
佐賀でマウスピース矯正なら当院にご相談ください
はじめまして。スマイル髙城歯科の髙城です。
当院は佐賀市にあるマウスピース矯正専門クリニックです。世界NO.2の症例数を誇るクリアコレクト矯正において、全国NO.3、九州NO.1の臨床経験を有する経験豊富な矯正歯科です。近隣でマウスピース矯正をご検討の方はぜひご相談ください。
プランページへ