審美・矯正歯科コラム
新着コラム一覧
-
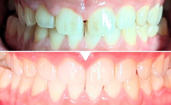
公開日:2026年2月13日[2]マウスピース矯正症例|20代女性・デコボコ歯
佐賀県佐賀市で歯列矯正をおこなっているスマイル髙城歯科です。当院でのマウスピース矯正治療の症例をご紹介します。
マウスピース矯正 -
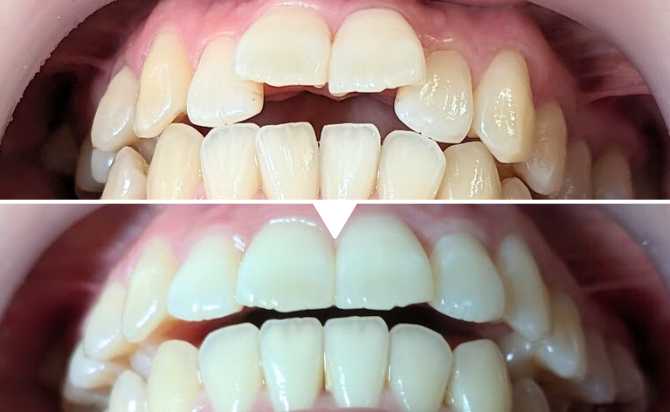
公開日:2026年2月13日[1]マウスピース矯正症例|20代女性・出っ歯・開咬・切端咬合|佐賀市
佐賀県佐賀市で歯列矯正をおこなっているスマイル髙城歯科です。当院でのマウスピース矯正治療の症例をご紹介します。
マウスピース矯正 -
公開日:2026年1月13日[3]マウスピース矯正症例|20代男性・すきっ歯|佐賀市
佐賀県佐賀市で歯列矯正をおこなっているスマイル髙城歯科です。当院でのマウスピース矯正治療の症例をご紹介します。
マウスピース矯正 -
公開日:2026年1月13日[6]マウスピース矯正症例|20代男性・すきっ歯|佐賀市
佐賀県佐賀市で歯列矯正をおこなっているスマイル髙城歯科です。当院でのマウスピース矯正治療の症例をご紹介します。
マウスピース矯正 -
公開日:2025年12月10日[5]マウスピース矯正症例|20代女性・デコボコ歯|佐賀市
佐賀県佐賀市で歯列矯正をおこなっているスマイル髙城歯科です。当院でのマウスピース矯正治療の症例をご紹介します。
マウスピース矯正 -
公開日:2025年12月5日[4]マウスピース矯正症例|10代女性・出っ歯|佐賀市
佐賀県佐賀市で歯列矯正をおこなっているスマイル髙城歯科です。当院でのマウスピース矯正治療の症例をご紹介します。
マウスピース矯正 -
公開日:2025年12月2日片顎だけ矯正はできる?メリット・リスク・適応症例について
「上の歯だけ」「下の歯だけを治したい」――そんなお悩みを持つ方に選ばれることがあるのが「片顎矯正」です。気になる部分だけを整えられる一方で、適応には注意が必要な治療法でもあります。今回は、片顎矯正のメリット・注意点・向いている症例についてわかりやすく解説します。
前歯・出っ歯矯正 -
公開日:2025年11月28日ハの字の前歯、放置しても大丈夫?「成長期の歯並びとケアのポイント」
お子さまの前歯がハの字に開いて生えていると、「このままで大丈夫?」と心配になりますよね。 乳歯のうちは自然に整うこともありますが、永久歯の段階でハの字が続く場合は注意が必要です。 今回は、ハの字の前歯の原因と、放置したときのリスク、対処のポイントを解説します。
子どもの歯並び矯正 -
公開日:2025年11月28日子どもがあまり噛まない・丸呑みしてしまうのはなぜ?原因と改善法
「うちの子、あまり噛まずに飲み込んでしまう…」そんなお悩みはありませんか? 噛む回数が少ないと、消化や歯並び、集中力の発達にも影響を及ぼすことがあります。 今回はスマイル髙城歯科が、子どもが噛まない・丸呑みしてしまう原因と、その改善方法をわかりやすく解説します。
子どもの歯並び矯正 -