Before
After

汚れた歯を白くする治療について

SCROLL

汚れの種類

歯に付着する汚れにはいくつか種類があります。

1歯石

歯磨きしてから時間が経つと「口の中がネバネバする」と感じることはありませんか? そのネバネバの正体は細菌の塊で、歯垢といいます。その歯垢が、時間が経って白く固まったものが歯石です。歯磨きしづらい歯と歯の隙間や歯と歯茎の狭間に付着しやすい汚れです。

2着色汚れ(ステイン)

歯の裏側に茶色い汚れが付着していたりしませんか? その汚れは、食べ物やたばこのヤニに含まれる色素が歯に付着してできた汚れで、ステインといいます。

3黄ばみ

歯の表面に付着した着色汚れは、時間が経つと徐々に歯に浸透していきます。その結果、歯は黄ばんでしまいます。

歯を白くする治療の種類と手順

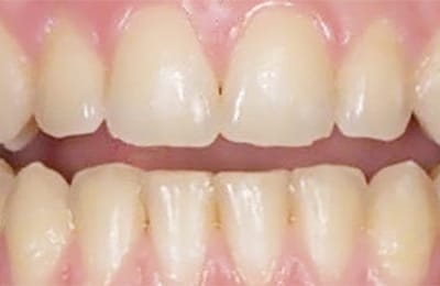
歯のクリーニング

Before
After

歯にこびりついた歯石・歯垢・ステインを除去する治療です。専用の機器を使い、付着した汚れを落としていきます。ホワイトニング(後述)の効果を高めるため、その前段階として必ずおこなう治療です。

歯のホワイトニング

Before
After

歯を漂白して歯の内部に浸透した黄ばみを落とし、歯を白くする治療です。歯科医院内でおこなうオフィスホワイトニングと、自宅でおこなうホームホワイトニングの2つの方法があります。(当院ではホームホワイトニングを提供しています。オフィスホワイトニングは取り扱っていません。)

ラミネートべニア

Before
After

クリーニングやホワイトニングでは落せないほど歯が頑固に汚れている場合におこなう治療です。歯の表面を薄く削り、そこに美しいセラミックの板(シェルと言います)を貼り付けることで歯を白くします。

当院の治療メニュー

当院ではクリーニングとホワイトニングに加え、重度の症例にはラミネートべニア治療もおこなっています。症状や希望に合わせて最適な治療をご提案しますので、まずはご相談ください。

歯のクリーニングの詳細はこちら

歯のホワイトニングの詳細はこちら

ラミネートべニアの詳細はこちら

すぐに治療は開始しません
まずはお話からはじめましょう

無料カウンセリング予約はこちら↓

お電話での予約はこちら
0952-27-0412

※診療時間内でお受けできます。

スマホサイトは
こちら