
矯正歯科コラム
新着コラム一覧
-
公開日:2025年9月30日
矯正中は痛み止めを飲んでも大丈夫?正しい使い方と注意点
透明で目立たず、取り外しができるマウスピース矯正ですが、実は毎日の習慣が治療の成功を左右する治療でもあります。 ここでは、マウスピース矯正を「めんどくさい」と感じる要素と、負担を減らして続けやすくする方法、そして面倒を上回るメリットについて詳しくご紹介します。
矯正歯科 -
-
公開日:2025年9月29日
マウスピース矯正を始めたのに歯が動かない?考えられる理由と対策
マウスピース矯正を始めたのに、思ったように歯が動かない――そんな経験はありませんか? 矯正は精密な計画と正しい装着、生活習慣の管理が必要です。ちょっとしたことが原因で、計画通りに歯が動かず、治療が長引くこともあります。 本コラムでは、歯が動きにくい原因をわかりやすく整理し、具体的な対策もご紹介します。これを読めば、マウスピース矯正を安心して進めるためのポイントがしっかり理解できます。
マウスピース矯正 -
公開日:2025年8月21日
マウスピース矯正はめんどくさい?不安を解消するポイント
透明で目立たず、取り外しができるマウスピース矯正ですが、実は毎日の習慣が治療の成功を左右する治療でもあります。 ここでは、マウスピース矯正を「めんどくさい」と感じる要素と、負担を減らして続けやすくする方法、そして面倒を上回るメリットについて詳しくご紹介します。
矯正歯科 -
公開日:2025年8月21日
マウスピース矯正1日目!初日に知っておきたいこと
「今日からマウスピース矯正が始まる…!」 ワクワクする気持ちと同時に、「痛くないかな?」「ちゃんと続けられるかな?」と不安もある方が多いでしょう。特に初日は、装着感や生活への影響に驚くことがあります。ここでは、初日だからこそ知っておきたいことや、快適に過ごすためのポイントをまとめました。
矯正歯科 -
-
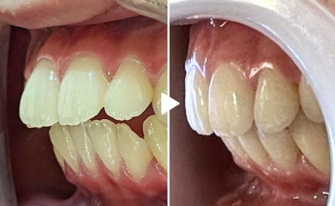
公開日:2025年7月22日
マウスピース矯正で前歯だけ治せる? リスクや回避方法
最近「前歯だけの矯正」といった広告をよく見かけるようになりました。そこで、本日は前歯だけの矯正についてご紹介します。
矯正歯科 -
-
-