CASE
矯正症例写真
全ての症例写真
-
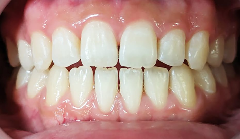
出っ歯
BEFORE & AFTER
SIMULATIONこちらの方は抜歯せず、前歯のみを動かして治療しました- 治療期間:
- 6か月プラン
- 治療費用一式:
- 448,000円(モニター価格)
費用補足:
別途診察料3,500円と事前シミュレーション料18,500円が必要です。
リスク:
マウスピース装着による不快感・痛み、歯根吸収等の副作用があります。矯正後に後戻りすることがあります。 -
-
デコボコ歯
BEFORE & AFTER
SIMULATION- 治療期間:
- 10か月プラン
- 治療費用一式:
- 338,000円(モニター価格)
費用補足:
別途診察料3,500円と事前シミュレーション料18,500円が必要です。
リスク:
マウスピース装着による不快感・痛み、歯根吸収等の副作用があります。矯正後に後戻りすることがあります。 -
-
すきっ歯
BEFORE & AFTER
SIMULATION- 治療期間:
- 5か月プラン
- 治療費用一式:
- 348,000円(モニター価格)
費用補足:
別途診察料3,500円と事前シミュレーション料18,500円が必要です。
リスク:
マウスピース装着による不快感・痛み、歯根吸収等の副作用があります。矯正後に後戻りすることがあります。 -
-
すきっ歯
BEFORE & AFTER
SIMULATION- 治療期間:
- 5か月プラン
- 治療費用一式:
- 368,000円(モニター価格)
費用補足:
別途診察料3,500円と事前シミュレーション料18,500円が必要です。
リスク:
マウスピース装着による不快感・痛み、歯根吸収等の副作用があります。矯正後に後戻りすることがあります。 -
-
デコボコ歯
BEFORE & AFTER
SIMULATION- 治療期間:
- 16か月プラン
- 治療費用一式:
- 600,000円(モニター価格)
費用補足:
別途診察料3,500円と事前シミュレーション料18,500円が必要です。
リスク:
マウスピース装着による不快感・痛み、歯根吸収等の副作用があります。矯正後に後戻りすることがあります。 -
-
出っ歯
BEFORE & AFTER
SIMULATION- 治療期間:
- 6か月プラン
- 治療費用一式:
- 448,000円(モニター価格)
費用補足:
別途診察料3,500円と事前シミュレーション料18,500円が必要です。
リスク:
マウスピース装着による不快感・痛み、歯根吸収等の副作用があります。矯正後に後戻りすることがあります。 -
-
すきっ歯
BEFORE & AFTER
SIMULATION- 治療期間:
- 11か月プラン
- 治療費用一式:
- 298,000円(モニター価格)
費用補足:
別途診察料3,500円と事前シミュレーション料18,500円が必要です。
リスク:
マウスピース装着による不快感・痛み、歯根吸収等の副作用があります。矯正後に後戻りすることがあります。 -
-
すきっ歯・中心のズレ
BEFORE & AFTER
SIMULATION- 治療期間:
- 6か月プラン
- 治療費用一式:
- 448,000円(モニター価格)
費用補足:
別途診察料3,500円と事前シミュレーション料18,500円が必要です。
リスク:
マウスピース装着による不快感・痛み、歯根吸収等の副作用があります。矯正後に後戻りすることがあります。 -
-
前歯が閉じない・デコボコ歯
BEFORE & AFTER
SIMULATION- 治療期間:
- 22か月プラン
- 治療費用一式:
- 498,000円(モニター価格)
費用補足:
別途診察料3,500円と事前シミュレーション料18,500円が必要です。
リスク:
マウスピース装着による不快感・痛み、歯根吸収等の副作用があります。矯正後に後戻りすることがあります。 -
-
噛み合わせのズレ
BEFORE & AFTER
SIMULATION- 治療期間:
- 8か月プラン
- 治療費用一式:
- 328,000円(モニター価格)
費用補足:
別途診察料3,500円と事前シミュレーション料18,500円が必要です。
リスク:
マウスピース装着による不快感・痛み、歯根吸収等の副作用があります。矯正後に後戻りすることがあります。 -









