[5]マウスピース矯正症例|20代女性・デコボコ歯|佐賀市
佐賀県佐賀市で歯列矯正をおこなっているスマイル髙城歯科です。当院でのマウスピース矯正治療の症例をご紹介します。
主訴



- 上顎1番(前歯)の前突を改善したい
所見
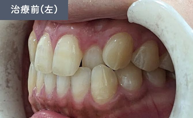
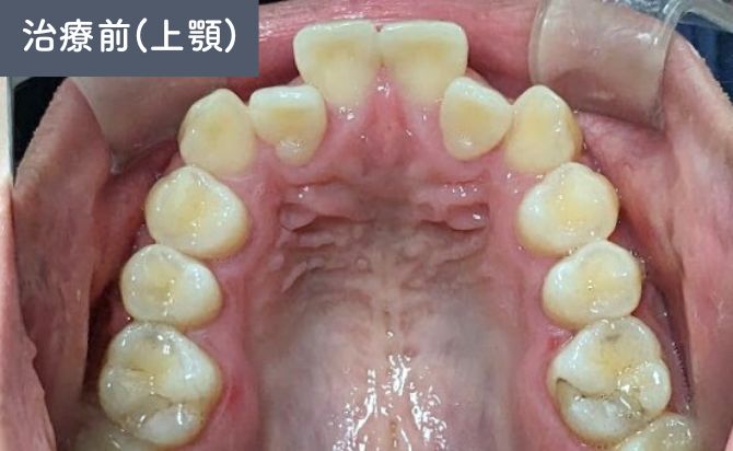
上顎1番の前方位が確認され、口元の突出感に影響していました。また、上顎2番の舌側傾斜があり、歯列全体の並びにも不均衡がみられました。
咬合状態では、右側3番が切端咬合となっており、犬歯の誘導機能に影響を及ぼす可能性がある状態でした。
さらに、下顎歯列弓が方形型であることから、上下のアーチ形態のバランスが整っておらず、前歯部の噛み合わせにも改善の余地があると判断しました。
全体として、アライナーによる歯軸コントロールやアーチ形態の調整を行うことで改善が見込める症例と判断しています。
治療概要
治療計画

IPR(歯間削合)を適宜行い、スペース確保を図りながらアーチを整えていく計画としました。アタッチメントを併用して歯の移動方向を細やかにコントロールしています。
- 使用装置:クリアコレクト
- 抜歯部位:1本(親知らず)
- 費用:338,000円(モニター価格)
費用補足:
別途診察料3,500円と事前シミュレーション料18,500円が必要です。
リスク:
マウスピース装着による不快感・痛み、歯根吸収等の副作用があります。矯正後に後戻りすることがあります。
治療経過
アライナーの交換ペース・装着時間ともに良好でしたが、中盤で上顎の移動量が計画より不足していたため、一度リテイク(治療計画の再設定)を行いました。

その後は前歯部の配列と咬合への誘導が順調に進みました。
- 治療期間:10か月
- 通院頻度:月1回程度
治療結果

治療終了時には、患者様が気にされていた上顎1番の突出が軽減され、前歯の位置が適正化しました。上顎2番の舌側傾斜も改善され、左右のバランスが整った歯列アーチが得られています。
右側3番の切端咬合も改善し、犬歯誘導が適切に働く咬合状態となりました。上下のアーチ形態のバランスも改善し、見た目だけでなく、機能的にも安定した咬合が確立されています。
現在は、後戻り防止のためのリテーナーを使用していただきながら経過観察を続けています。
歯並びの変化
Before/After
歯並びの変化(正面)


歯並びの変化(右)


歯並びの変化(左)


歯並びの変化(上)


歯並びの変化(下)


佐賀県佐賀市
マウスピース矯正16.8万円~
お気軽にご相談ください

スマイル髙城歯科では、豊富なマウスピース矯正の実績をもとに、軽度から重度までさまざまな歯並びの治療をおこなっています。
当院実績
・クリアコレクト全国症例数第3位
・シュアスマイル全国症例数第1位
・年間の矯正相談者数約600人
・マウスピース矯正症例数約1,000件
歯列矯正をご検討中でしたら、ぜひ一度当院に無料相談にいらしてください。歯並びに合った治療プランをご提案いたします。
- マウスピース矯正 症例写真
-
Before
After
Before
After
Before
After
Before
After
Before
After - 施術名
- マウスピース矯正
- 治療費用
- 一式168,000円~738,000円程度
- ※別途診察料3,500円と事前シミュレーション料18,500円が必要です。
- リスク
- マウスピース装着による不快感・痛み、歯根吸収等の副作用があります。矯正後に後戻りすることがあります。
佐賀でマウスピース矯正なら当院にご相談ください
はじめまして。スマイル髙城歯科の髙城です。
当院は佐賀市にあるマウスピース矯正専門クリニックです。世界NO.2の症例数を誇るクリアコレクト矯正において、全国NO.3、九州NO.1の臨床経験を有する経験豊富な矯正歯科です。近隣でマウスピース矯正をご検討の方はぜひご相談ください。
プランページへ