[3]マウスピース矯正症例|20代男性・すきっ歯|佐賀市
佐賀県佐賀市で歯列矯正をおこなっているスマイル髙城歯科です。当院でのマウスピース矯正治療の症例をご紹介します。
主訴


- 上顎前歯のすき間が気になる
- 前歯が噛み合わず、口が閉じにくい感じがある
- 上下前歯3番までを中心にきれいに整えたい
所見
診察では、上顎左右1番間の歯間空隙(すきっ歯)が認められ、審美面での改善希望が強い症例でした。また、前歯部では上下の噛み合わせが接触しない開咬(オープンバイト)の状態が確認されました。
上下前歯には軽度の前突傾向があり、歯列弓の乱れによって歯間空隙と噛み合わせの不安定さが生じている状態でした。
臼歯部の咬合は比較的安定しており、前歯部を中心とした矯正治療で十分な改善が見込める症例と判断しました。
治療概要
治療計画

患者様のご希望を踏まえ、上下前歯3番までを対象とした矯正治療を計画しました。治療の主目的は、前歯部の歯間空隙の閉鎖、前突の改善、そしてオープンバイトの是正です。
アライナーを用いて前歯の傾斜と位置をコントロールしながら、歯列弓の形態を整え、自然で安定した前歯の噛み合わせを獲得することを目標としました。
抜歯は行わず、7〜8か月程度での治療完了を想定した計画としています。
- 使用装置:クリアコレクト
- 抜歯部位:なし
- 費用:368,000円(モニター価格)
費用補足:
別途診察料3,500円と事前シミュレーション料18,500円が必要です。
リスク:
マウスピース装着による不快感・痛み、歯根吸収等の副作用があります。矯正後に後戻りすることがあります。
治療経過
アライナーの装着状況は良好で、治療計画に沿って歯の移動がスムーズに進行しました。
前歯部のすき間は治療の進行とともに徐々に改善し、同時に前歯の被蓋関係も安定していきました。
オープンバイトについても、前歯の位置関係が改善されることで噛み合わせが整い、治療計画の見直し(リテイク)を行うことなく予定通り治療が進行しています。
- 治療期間:5か月
- 通院頻度:月1回程度
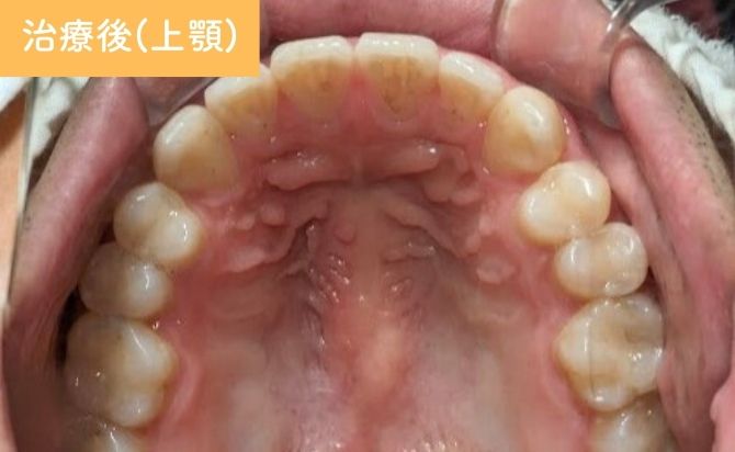
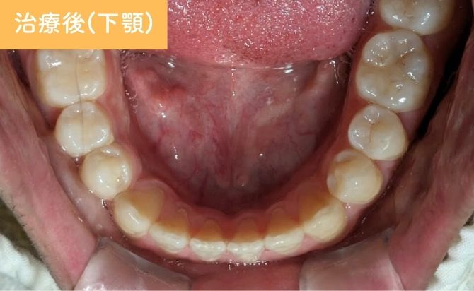
治療結果

治療終了時には、上顎前歯の歯間空隙が閉鎖され、前歯部の開咬も改善しました。上下前歯の前突感が軽減され、歯列弓も自然な形態に整っています。
前歯部の見た目が大きく改善しただけでなく、噛み合わせも安定し、機能面・審美面の両立が図られた症例となりました。
現在は、後戻り防止のためリテーナー(保定装置)を使用していただき、経過観察を続けています。
歯並びの変化
Before/After
歯並びの変化(正面)


歯並びの変化(右)


歯並びの変化(左)


歯並びの変化(上)


歯並びの変化(下)


佐賀県佐賀市
マウスピース矯正16.8万円~
お気軽にご相談ください

スマイル髙城歯科では、豊富なマウスピース矯正の実績をもとに、軽度から重度までさまざまな歯並びの治療をおこなっています。
当院実績
・クリアコレクト全国症例数第3位
・シュアスマイル全国症例数第1位
・年間の矯正相談者数約600人
・マウスピース矯正症例数約1,000件
歯列矯正をご検討中でしたら、ぜひ一度当院に無料相談にいらしてください。歯並びに合った治療プランをご提案いたします。
- マウスピース矯正 症例写真
-
Before
After
Before
After
Before
After
Before
After
Before
After - 施術名
- マウスピース矯正
- 治療費用
- 一式168,000円~738,000円程度
- ※別途診察料3,500円と事前シミュレーション料18,500円が必要です。
- リスク
- マウスピース装着による不快感・痛み、歯根吸収等の副作用があります。矯正後に後戻りすることがあります。
佐賀でマウスピース矯正なら当院にご相談ください
はじめまして。スマイル髙城歯科の髙城です。
当院は佐賀市にあるマウスピース矯正専門クリニックです。世界NO.2の症例数を誇るクリアコレクト矯正において、全国NO.3、九州NO.1の臨床経験を有する経験豊富な矯正歯科です。近隣でマウスピース矯正をご検討の方はぜひご相談ください。
プランページへ