[1]マウスピース矯正症例|20代女性・出っ歯・開咬・切端咬合|佐賀市
佐賀県佐賀市で歯列矯正をおこなっているスマイル髙城歯科です。当院でのマウスピース矯正治療の症例をご紹介します。
主訴



- 上顎前歯の出っ歯と隙間が気になる
- 前歯が噛み合わない
- 口が閉じにくい
所見
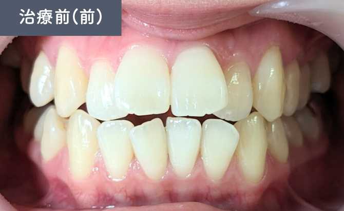
・上顎前歯2本の前方突出(出っ歯傾向)が認められました
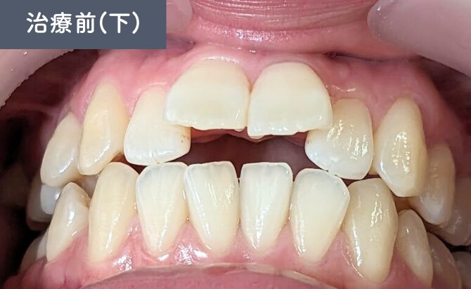
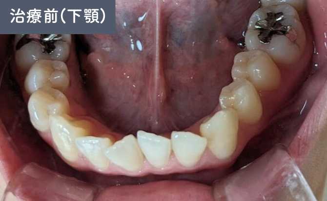
・下顎前歯1〜2番には軽度の叢生がみられ、前歯部の配列不正が確認されました
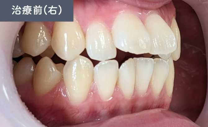
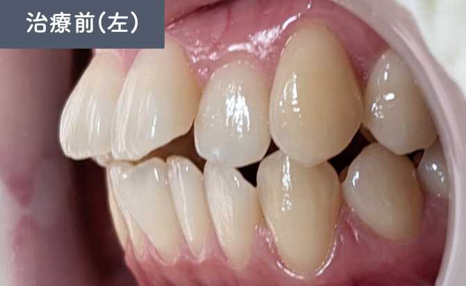
・上顎奥歯は左右ともに頬側へ傾斜している状態でした。
咬合状態は奥歯を噛み合わせても前歯が接触しない開咬(オープンバイト)の状態であり、かつ上下の2番同士が接触する切端咬合も認められました。
歯列弓は狭窄傾向にあり、前歯部の突出や咬合不良に影響していると考えられます。
治療概要
治療計画

アライナーを用いて歯列弓を広げながら、前歯部を中心に歯軸を整える計画としています。
これにより、スペースを確保しつつ、抜歯を行わずに前歯の突出感を軽減し、噛み合わせの改善を目指しました。
上顎奥歯の傾きについては積極的な移動は行わず、現状を維持する方針としました。
- 使用装置:クリアコレクト
- 抜歯部位:なし
- 費用:448,000円(モニター価格)
費用補足:
別途診察料3,500円と事前シミュレーション料18,500円が必要です。
リスク:
マウスピース装着による不快感・痛み、歯根吸収等の副作用があります。矯正後に後戻りすることがあります。
治療経過
アライナーの装着状況は良好で、歯の移動も計画通りに進行しました。歯列弓の拡大に伴いスペースが確保され、前歯の配列および歯軸改善がスムーズに進みました。
開咬の改善も段階的に進行し、前歯部の接触関係が安定していきました。治療計画の見直し(リテイク)を行うことなく、約6か月で治療を完了しています。
- 治療期間:6か月
- 通院頻度:月1回程度
治療結果

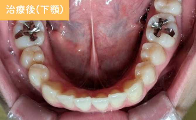
治療終了時には、歯列弓が自然な形態へと整い、前歯の突出感が軽減しました。下顎前歯の叢生も改善し、歯列全体がバランスよく整っています。
開咬は改善され、前歯が適切に接触する咬合関係が確立されました。切端咬合も改善され、機能的に安定した噛み合わせが得られています。
現在はリテーナーによる保定を行い、安定した状態の維持を図っています。
歯並びの変化
Before/After
歯並びの変化(正面)


歯並びの変化(下から)


歯並びの変化(右)


歯並びの変化(左)


歯並びの変化(上)


歯並びの変化(下)


佐賀県佐賀市
マウスピース矯正16.8万円~
お気軽にご相談ください

スマイル髙城歯科では、豊富なマウスピース矯正の実績をもとに、軽度から重度までさまざまな歯並びの治療をおこなっています。
当院実績
・クリアコレクト全国症例数第3位
・シュアスマイル全国症例数第1位
・年間の矯正相談者数約600人
・マウスピース矯正症例数約1,000件
歯列矯正をご検討中でしたら、ぜひ一度当院に無料相談にいらしてください。歯並びに合った治療プランをご提案いたします。
- マウスピース矯正 症例写真
-
Before
After
Before
After
Before
After
Before
After
Before
After - 施術名
- マウスピース矯正
- 治療費用
- 一式168,000円~738,000円程度
- ※別途診察料3,500円と事前シミュレーション料18,500円が必要です。
- リスク
- マウスピース装着による不快感・痛み、歯根吸収等の副作用があります。矯正後に後戻りすることがあります。
佐賀でマウスピース矯正なら当院にご相談ください
はじめまして。スマイル髙城歯科の髙城です。
当院は佐賀市にあるマウスピース矯正専門クリニックです。世界NO.2の症例数を誇るクリアコレクト矯正において、全国NO.3、九州NO.1の臨床経験を有する経験豊富な矯正歯科です。近隣でマウスピース矯正をご検討の方はぜひご相談ください。
プランページへ