[2]マウスピース矯正症例|20代女性・デコボコ歯
佐賀県佐賀市で歯列矯正をおこなっているスマイル髙城歯科です。当院でのマウスピース矯正治療の症例をご紹介します。
主訴


- 歯が奥に引っ込んでいるのが気になる
- まずは下顎のみを矯正したい
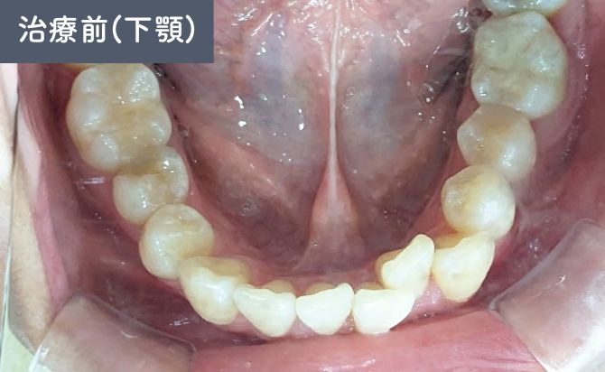
所見
下顎左2番が舌側へ大きく内側へ入り込んでいる状態が確認できました。
その他の歯列には大きな叢生や咬合異常は認められませんでしたが、下顎の歯列弓が狭く歯が並びきっていない状態でした。
全体の咬合バランスを評価したうえで、まずは下顎のみの部分矯正で改善が可能な症例と判断しました。
治療概要
治療計画

抜歯は行わず、アライナーを用いて歯列弓内にスペースを確保しながら、段階的に2番を正しい位置へ移動させる計画としています。
移動距離が大きいため、歯のトラッキング(計画通りの移動)を慎重に確認しながら治療を進める方針としました。
- 使用装置:クリアコレクト
- 抜歯部位:なし
- 費用:600,000円(モニター価格)
費用補足:
別途診察料3,500円と事前シミュレーション料18,500円が必要です。
リスク:
マウスピース装着による不快感・痛み、歯根吸収等の副作用があります。矯正後に後戻りすることがあります。
治療経過

治療初期は、転位歯の移動量が大きいため慎重にコントロールを行いました。途中、歯の動きに合わせて2回のリテイク(治療計画の見直し)を実施し、より精密な位置調整を行っています。

リテイク後は歯の移動が安定し、最終的に歯列内への誘導を達成しました。
- 治療期間:16か月
- 通院頻度:月1回程度
治療結果

下顎左2番が歯列内へ適切に配列され、自然なアーチ形態が回復しました。現在は保定管理を行いながら、患者さまからの希望があり上顎の矯正治療を開始しています。
上下のバランスをさらに整えることで、より安定した咬合の確立を目指していきます。
歯並びの変化(左)


歯並びの変化(下)


佐賀県佐賀市
マウスピース矯正16.8万円~
お気軽にご相談ください

スマイル髙城歯科では、豊富なマウスピース矯正の実績をもとに、軽度から重度までさまざまな歯並びの治療をおこなっています。
当院実績
・クリアコレクト全国症例数第3位
・シュアスマイル全国症例数第1位
・年間の矯正相談者数約600人
・マウスピース矯正症例数約1,000件
歯列矯正をご検討中でしたら、ぜひ一度当院に無料相談にいらしてください。歯並びに合った治療プランをご提案いたします。
- マウスピース矯正 症例写真
-
Before
After
Before
After
Before
After
Before
After
Before
After - 施術名
- マウスピース矯正
- 治療費用
- 一式168,000円~738,000円程度
- ※別途診察料3,500円と事前シミュレーション料18,500円が必要です。
- リスク
- マウスピース装着による不快感・痛み、歯根吸収等の副作用があります。矯正後に後戻りすることがあります。
佐賀でマウスピース矯正なら当院にご相談ください
はじめまして。スマイル髙城歯科の髙城です。
当院は佐賀市にあるマウスピース矯正専門クリニックです。世界NO.2の症例数を誇るクリアコレクト矯正において、全国NO.3、九州NO.1の臨床経験を有する経験豊富な矯正歯科です。近隣でマウスピース矯正をご検討の方はぜひご相談ください。
プランページへ