CASE
矯正症例写真
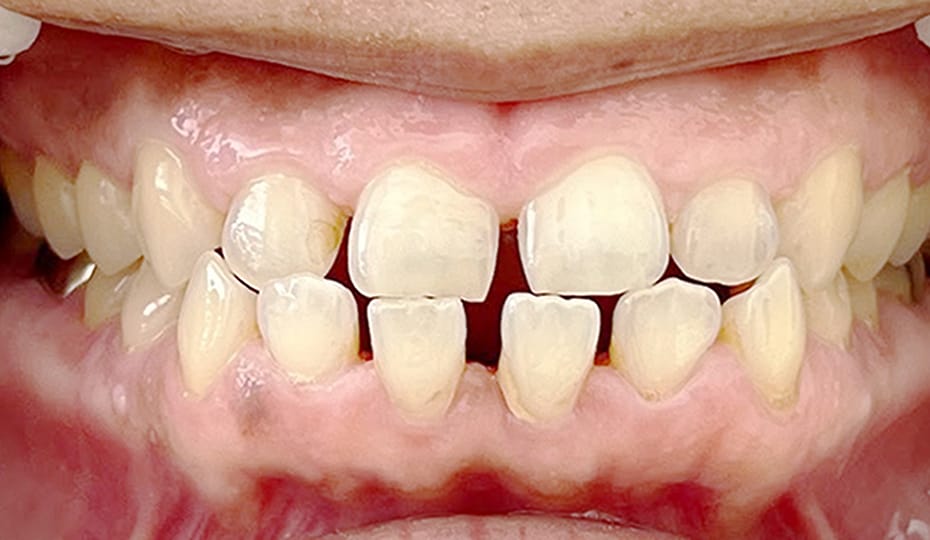
「すきっ歯」の症例写真
-
すきっ歯
BEFORE & AFTER
SIMULATION- 治療期間:
- 5か月プラン
- 治療費用一式:
- 348,000円(モニター価格)
費用補足:
別途診察料3,500円と事前シミュレーション料18,500円が必要です。
リスク:
マウスピース装着による不快感・痛み、歯根吸収等の副作用があります。矯正後に後戻りすることがあります。症例詳細へ -
-
すきっ歯
BEFORE & AFTER
SIMULATION- 治療期間:
- 5か月プラン
- 治療費用一式:
- 368,000円(モニター価格)
費用補足:
別途診察料3,500円と事前シミュレーション料18,500円が必要です。
リスク:
マウスピース装着による不快感・痛み、歯根吸収等の副作用があります。矯正後に後戻りすることがあります。症例詳細へ -
-
すきっ歯
BEFORE & AFTER
SIMULATION- 治療期間:
- 11か月プラン
- 治療費用一式:
- 298,000円(モニター価格)
費用補足:
別途診察料3,500円と事前シミュレーション料18,500円が必要です。
リスク:
マウスピース装着による不快感・痛み、歯根吸収等の副作用があります。矯正後に後戻りすることがあります。 -
-
すきっ歯・中心のズレ
BEFORE & AFTER
SIMULATION- 治療期間:
- 6か月プラン
- 治療費用一式:
- 448,000円(モニター価格)
費用補足:
別途診察料3,500円と事前シミュレーション料18,500円が必要です。
リスク:
マウスピース装着による不快感・痛み、歯根吸収等の副作用があります。矯正後に後戻りすることがあります。 -
-
出っ歯・すきっ歯
BEFORE & AFTER
SIMULATION- 治療期間:
- 8か月プラン
- 治療費用一式:
- 468,000円(モニター価格)
費用補足:
別途診察料3,500円と事前シミュレーション料18,500円が必要です。
リスク:
マウスピース装着による不快感・痛み、歯根吸収等の副作用があります。矯正後に後戻りすることがあります。 -
-
すきっ歯
BEFORE & AFTER
SIMULATION- 治療期間:
- 10か月プラン
- 治療費用一式:
- 398,000円(モニター価格)
費用補足:
別途診察料3,500円と事前シミュレーション料18,500円が必要です。
リスク:
マウスピース装着による不快感・痛み、歯根吸収等の副作用があります。矯正後に後戻りすることがあります。 -
-
すきっ歯
BEFORE & AFTER
SIMULATION- 治療期間:
- 13か月プラン
- 治療費用一式:
- 440,000円(モニター価格)
費用補足:
別途診察料3,500円と事前シミュレーション料18,500円が必要です。
リスク:
マウスピース装着による不快感・痛み、歯根吸収等の副作用があります。矯正後に後戻りすることがあります。 -
-
すきっ歯
BEFORE & AFTER
SIMULATION- 治療期間:
- 9か月プラン
- 治療費用一式:
- 338,000円(モニター価格)
費用補足:
別途診察料3,500円と事前シミュレーション料18,500円が必要です。
リスク:
マウスピース装着による不快感・痛み、歯根吸収等の副作用があります。矯正後に後戻りすることがあります。 -
-
すきっ歯
BEFORE & AFTER
SIMULATION- 治療期間:
- 10か月プラン
- 治療費用一式:
- 348,000円(モニター価格)
費用補足:
別途診察料3,500円と事前シミュレーション料18,500円が必要です。
リスク:
マウスピース装着による不快感・痛み、歯根吸収等の副作用があります。矯正後に後戻りすることがあります。 -
-
すきっ歯
BEFORE & AFTER
SIMULATION- 治療期間:
- 6か月プラン
- 治療費用一式:
- 348,000円(モニター価格)
費用補足:
別途診察料3,500円と事前シミュレーション料18,500円が必要です。
リスク:
マウスピース装着による不快感・痛み、歯根吸収等の副作用があります。矯正後に後戻りすることがあります。 -









