 
            CASE
            矯正症例写真
「深い噛み合わせ」の症例写真
- 
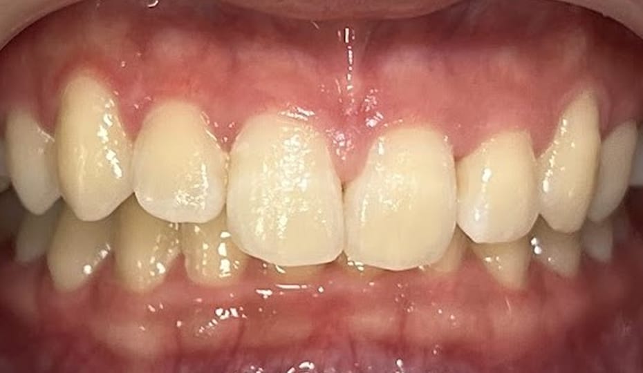
                    深い噛み合わせ・出っ歯BEFORE & AFTER   SIMULATIONこちらの方は60歳から治療開始しています。歯列矯正は何歳からでも始められます! SIMULATIONこちらの方は60歳から治療開始しています。歯列矯正は何歳からでも始められます!- 治療期間:
- 10か月プラン
 - 治療費用一式:
- 458,000円(モニター価格)
 費用補足:
 別途診察料3,500円と事前シミュレーション料18,500円が必要です。
 リスク:
 マウスピース装着による不快感・痛み、歯根吸収等の副作用があります。矯正後に後戻りすることがあります。
- 
        
- 
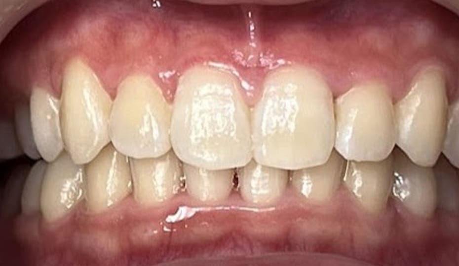
                    出っ歯・深い噛み合わせBEFORE & AFTER   SIMULATION SIMULATION- 治療期間:
- 14か月プラン
 - 治療費用一式:
- 590,000円(モニター価格)
 費用補足:
 別途診察料3,500円と事前シミュレーション料18,500円が必要です。
 リスク:
 マウスピース装着による不快感・痛み、歯根吸収等の副作用があります。矯正後に後戻りすることがあります。
- 
        
- 
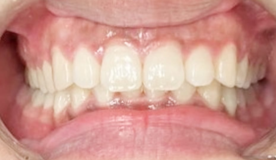
                    出っ歯・深い噛み合わせBEFORE & AFTER   SIMULATION SIMULATION- 治療期間:
- 23か月プラン
 - 治療費用一式:
- 462,000円(モニター価格)
 費用補足:
 別途診察料3,500円と事前シミュレーション料18,500円が必要です。
 リスク:
 マウスピース装着による不快感・痛み、歯根吸収等の副作用があります。矯正後に後戻りすることがあります。
- 
        
- 
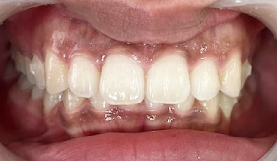
                    深い噛み合わせBEFORE & AFTER   SIMULATION SIMULATION- 治療期間:
- 7か月プラン
 - 治療費用一式:
- 348,000円(モニター価格)
 費用補足:
 別途診察料3,500円と事前シミュレーション料18,500円が必要です。
 リスク:
 マウスピース装着による不快感・痛み、歯根吸収等の副作用があります。矯正後に後戻りすることがあります。
- 
        
- 
                    深い噛み合わせBEFORE & AFTER   SIMULATION SIMULATION- 治療期間:
- 6か月プラン
 - 治療費用一式:
- 448,000円(モニター価格)
 費用補足:
 別途診察料3,500円と事前シミュレーション料18,500円が必要です。
 リスク:
 マウスピース装着による不快感・痛み、歯根吸収等の副作用があります。矯正後に後戻りすることがあります。
- 
        
                
                1
                
            
         
         
         
         
         
         
         
         
         
         
         
         
         
         
         
         
         
         
         
         
         
         
         
         
         
         
         
         
         
         
         
         
         
         
         
         
         
         
         
         
         
         
         
         
         
         
         
         
         
         
         
         
         
         
         
         
         
         
         
         
         
         
         
         
         
         
         
         
         
         
         
         
         
         
         
         
         
         
         
         
         
         
         
         
         
         
         
         
         
         
         
         
         
         
         
         
         
         
         
         
         
         
         
         
         
        








