 
            CASE
            矯正症例写真
「出っ歯」の症例写真
- 
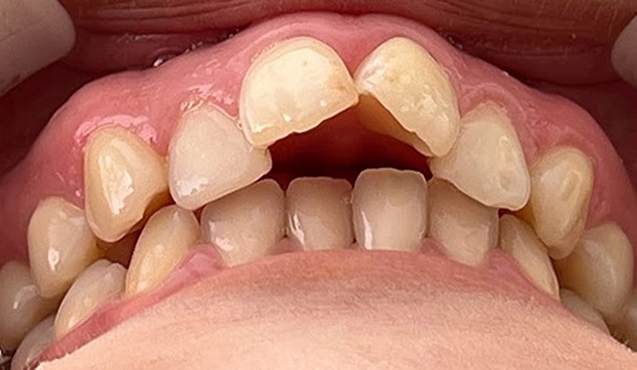
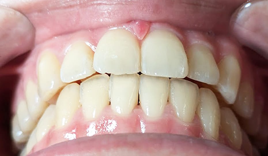
                    出っ歯BEFORE & AFTER   SIMULATIONこちらの方は抜歯せず、前歯のみを動かして治療しました SIMULATIONこちらの方は抜歯せず、前歯のみを動かして治療しました- 治療期間:
- 6か月プラン
 - 治療費用一式:
- 448,000円(モニター価格)
 費用補足:
 別途診察料3,500円と事前シミュレーション料18,500円が必要です。
 リスク:
 マウスピース装着による不快感・痛み、歯根吸収等の副作用があります。矯正後に後戻りすることがあります。
- 
        
- 
                    出っ歯BEFORE & AFTER   SIMULATION SIMULATION- 治療期間:
- 6か月プラン
 - 治療費用一式:
- 448,000円(モニター価格)
 費用補足:
 別途診察料3,500円と事前シミュレーション料18,500円が必要です。
 リスク:
 マウスピース装着による不快感・痛み、歯根吸収等の副作用があります。矯正後に後戻りすることがあります。
- 
        
- 
                    出っ歯BEFORE & AFTER   SIMULATION SIMULATION- 治療期間:
- 8か月プラン
 - 治療費用一式:
- 348,000円(モニター価格)
 費用補足:
 別途診察料3,500円と事前シミュレーション料18,500円が必要です。
 リスク:
 マウスピース装着による不快感・痛み、歯根吸収等の副作用があります。矯正後に後戻りすることがあります。
- 
        
- 
                    出っ歯・すきっ歯BEFORE & AFTER   SIMULATION SIMULATION- 治療期間:
- 8か月プラン
 - 治療費用一式:
- 468,000円(モニター価格)
 費用補足:
 別途診察料3,500円と事前シミュレーション料18,500円が必要です。
 リスク:
 マウスピース装着による不快感・痛み、歯根吸収等の副作用があります。矯正後に後戻りすることがあります。
- 
        
- 
                    深い噛み合わせ・出っ歯BEFORE & AFTER   SIMULATIONこちらの方は60歳から治療開始しています。歯列矯正は何歳からでも始められます! SIMULATIONこちらの方は60歳から治療開始しています。歯列矯正は何歳からでも始められます!- 治療期間:
- 10か月プラン
 - 治療費用一式:
- 458,000円(モニター価格)
 費用補足:
 別途診察料3,500円と事前シミュレーション料18,500円が必要です。
 リスク:
 マウスピース装着による不快感・痛み、歯根吸収等の副作用があります。矯正後に後戻りすることがあります。
- 
        
- 
                    出っ歯・すきっ歯BEFORE & AFTER   SIMULATION SIMULATION- 治療期間:
- 8か月プラン
 - 治療費用一式:
- 468,000円(モニター価格)
 費用補足:
 別途診察料3,500円と事前シミュレーション料18,500円が必要です。
 リスク:
 マウスピース装着による不快感・痛み、歯根吸収等の副作用があります。矯正後に後戻りすることがあります。
- 
        
- 
                    出っ歯BEFORE & AFTER   SIMULATION SIMULATION- 治療期間:
- 12か月プラン
 - 治療費用一式:
- 772,000円(モニター価格)
 費用補足:
 別途診察料3,500円と事前シミュレーション料18,500円が必要です。
 リスク:
 マウスピース装着による不快感・痛み、歯根吸収等の副作用があります。矯正後に後戻りすることがあります。
- 
        
- 
                    出っ歯BEFORE & AFTER   SIMULATION SIMULATION- 治療期間:
- 15か月プラン
 - 治療費用一式:
- 393,000円(モニター価格)
 費用補足:
 別途診察料3,500円と事前シミュレーション料18,500円が必要です。
 リスク:
 マウスピース装着による不快感・痛み、歯根吸収等の副作用があります。矯正後に後戻りすることがあります。
- 
        
- 
                    出っ歯BEFORE & AFTER   SIMULATION SIMULATION- 治療期間:
- 9か月プラン
 - 治療費用一式:
- 468,000円(モニター価格)
 費用補足:
 別途診察料3,500円と事前シミュレーション料18,500円が必要です。
 リスク:
 マウスピース装着による不快感・痛み、歯根吸収等の副作用があります。矯正後に後戻りすることがあります。
- 
        
- 
                    出っ歯BEFORE & AFTER   SIMULATION SIMULATION- 治療期間:
- 6か月プラン
 - 治療費用一式:
- 448,000円(モニター価格)
 費用補足:
 別途診察料3,500円と事前シミュレーション料18,500円が必要です。
 リスク:
 マウスピース装着による不快感・痛み、歯根吸収等の副作用があります。矯正後に後戻りすることがあります。
- 
        
 
         
         
         
         
         
         
         
         
         
         
         
         
         
         
         
         
         
         
         
         
         
         
         
         
         
         
         
         
         
         
         
         
         
         
         
         
         
         
         
         
         
         
         
         
         
         
         
         
         
         
         
         
         
         
         
         
         
         
         
         
         
         
         
         
         
         
         
         
         
         
         
         
         
         
         
         
         
         
         
         
         
         
         
         
         
         
         
         
         
         
         
         
         
         
         
         
         
         
         
         
         
         
         
         
         
         
         
         
         
         
         
         
         
         
         
         
         
         
         
         
         
         
         
         
         
         
         
         
         
         
         
         
         
         
         
         
         
         
         
         
        








