 
            CASE
            矯正症例写真
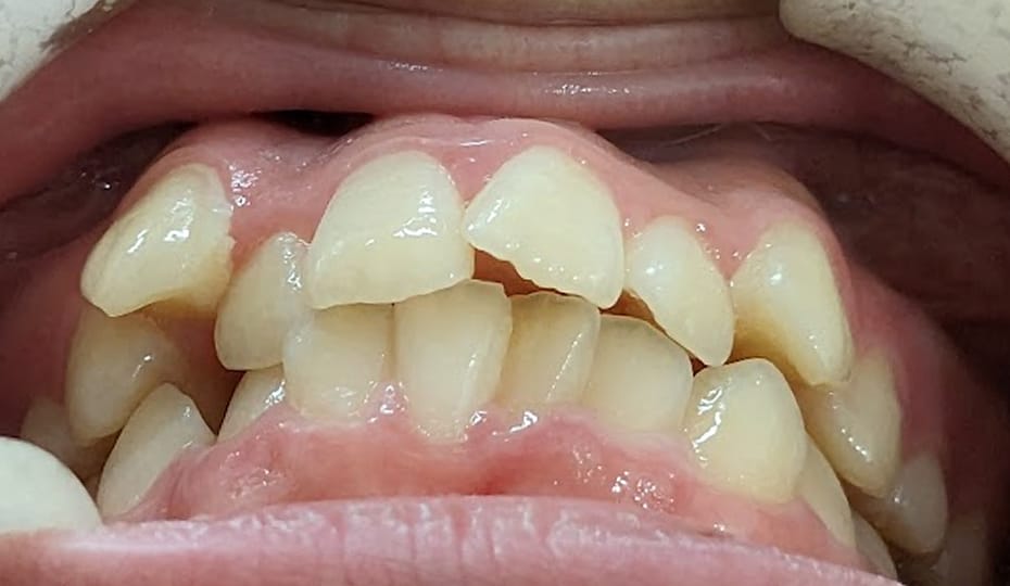
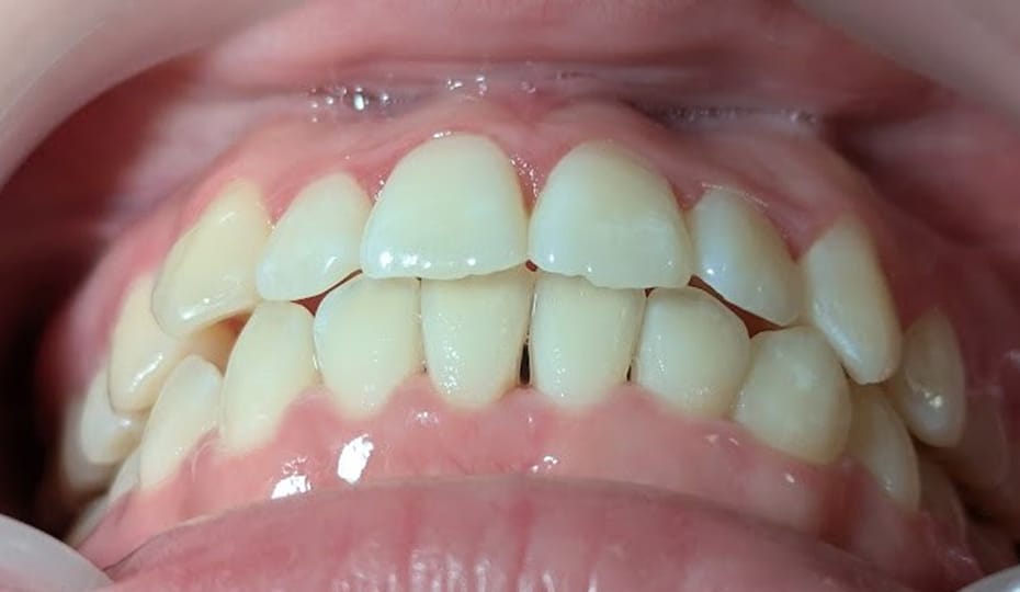
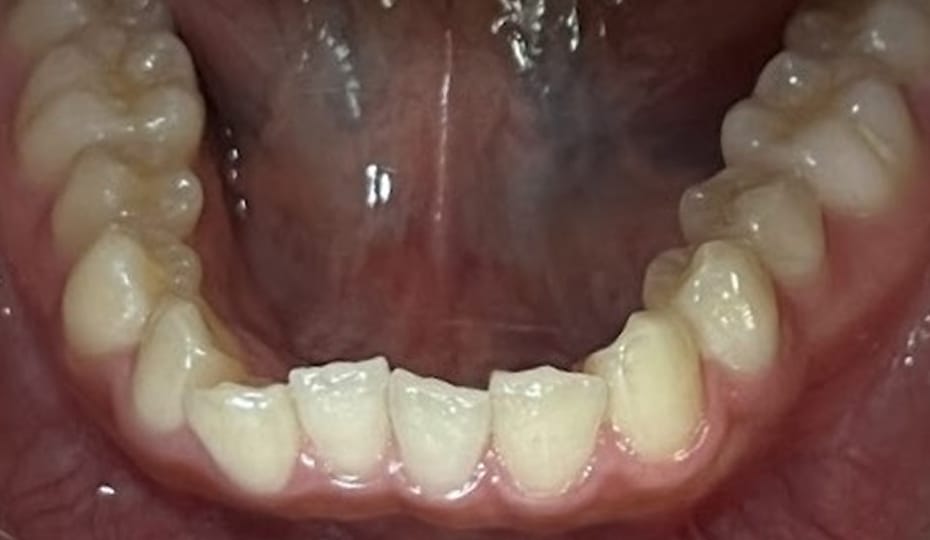
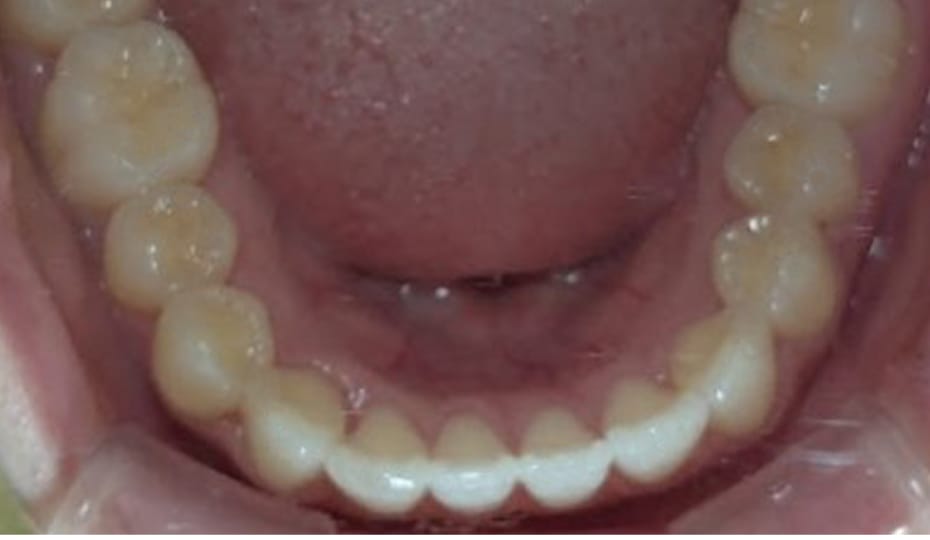
「デコボコ歯」の症例写真
- 
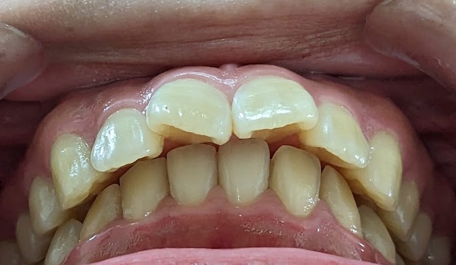
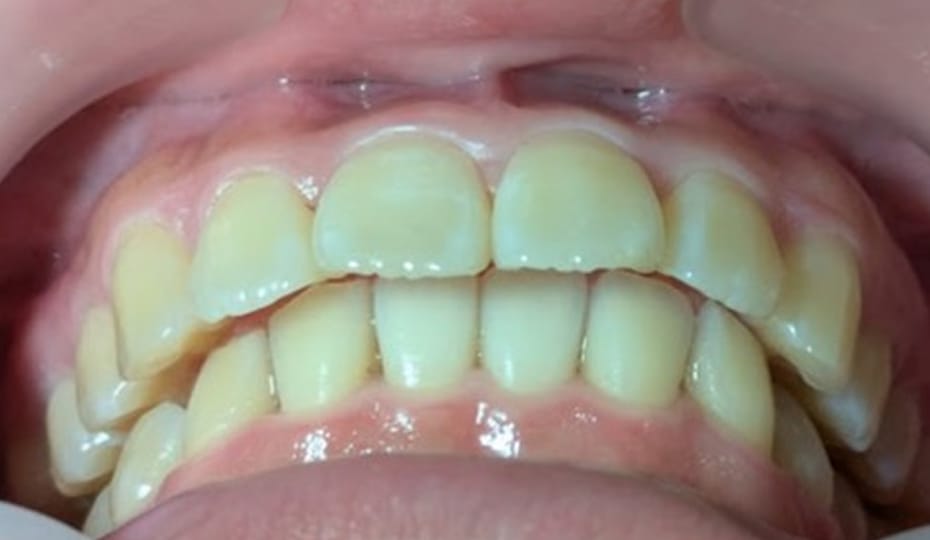
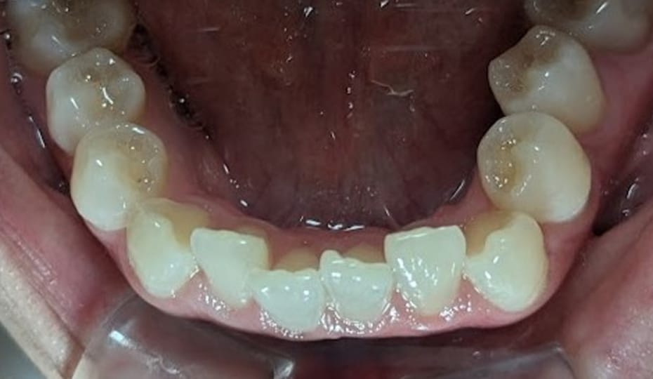
                    デコボコ歯BEFORE & AFTER   SIMULATION SIMULATION- 治療期間:
- 8か月プラン
 - 治療費用一式:
- 448,000円(モニター価格)
 費用補足:
 別途診察料3,500円と事前シミュレーション料18,500円が必要です。
 リスク:
 マウスピース装着による不快感・痛み、歯根吸収等の副作用があります。矯正後に後戻りすることがあります。
- 
        
- 
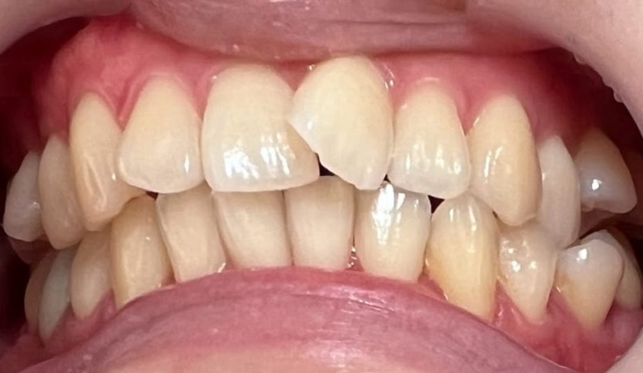
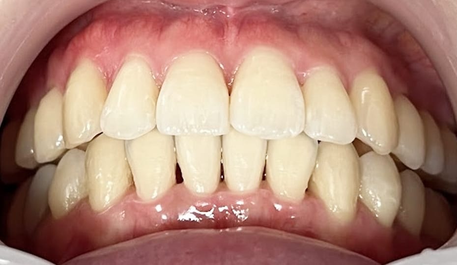
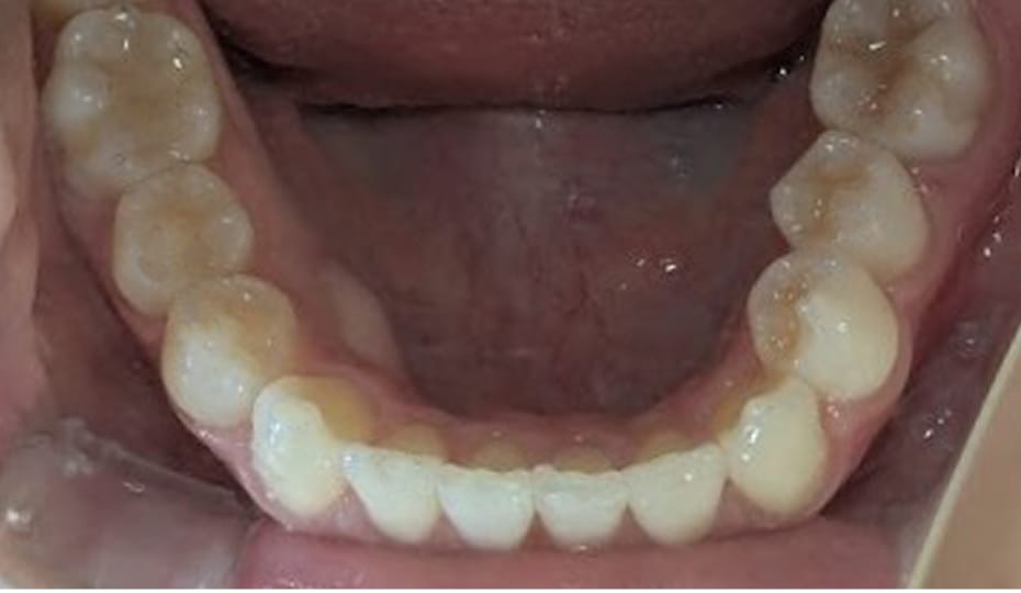
                    デコボコ歯BEFORE & AFTER   SIMULATION SIMULATION- 治療期間:
- 21か月プラン
 - 治療費用一式:
- 398,000円(モニター価格)
 費用補足:
 別途診察料3,500円と事前シミュレーション料18,500円が必要です。
 リスク:
 マウスピース装着による不快感・痛み、歯根吸収等の副作用があります。矯正後に後戻りすることがあります。
- 
        
- 
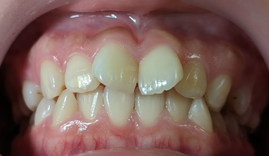
                    デコボコ歯BEFORE & AFTER   SIMULATION SIMULATION- 治療期間:
- 20か月プラン
 - 治療費用一式:
- 718,000円(モニター価格)
 費用補足:
 別途診察料3,500円と事前シミュレーション料18,500円が必要です。
 リスク:
 マウスピース装着による不快感・痛み、歯根吸収等の副作用があります。矯正後に後戻りすることがあります。
- 
        
- 
                    デコボコ歯BEFORE & AFTER   SIMULATION SIMULATION- 治療期間:
- 14か月プラン
 - 治療費用一式:
- 488,000円(モニター価格)
 費用補足:
 別途診察料3,500円と事前シミュレーション料18,500円が必要です。
 リスク:
 マウスピース装着による不快感・痛み、歯根吸収等の副作用があります。矯正後に後戻りすることがあります。
- 
        
- 
                    デコボコ歯BEFORE & AFTER   SIMULATION SIMULATION- 治療期間:
- 15か月プラン
 - 治療費用一式:
- 448,000円(モニター価格)
 費用補足:
 別途診察料3,500円と事前シミュレーション料18,500円が必要です。
 リスク:
 マウスピース装着による不快感・痛み、歯根吸収等の副作用があります。矯正後に後戻りすることがあります。
- 
        
- 
                    デコボコ歯BEFORE & AFTER   SIMULATION SIMULATION- 治療期間:
- 6か月プラン
 - 治療費用一式:
- 448,000円(モニター価格)
 費用補足:
 別途診察料3,500円と事前シミュレーション料18,500円が必要です。
 リスク:
 マウスピース装着による不快感・痛み、歯根吸収等の副作用があります。矯正後に後戻りすることがあります。
- 
        
- 
                    デコボコ歯BEFORE & AFTER   SIMULATION SIMULATION- 治療期間:
- 12か月プラン
 - 治療費用一式:
- 448,000円(モニター価格)
 費用補足:
 別途診察料3,500円と事前シミュレーション料18,500円が必要です。
 リスク:
 マウスピース装着による不快感・痛み、歯根吸収等の副作用があります。矯正後に後戻りすることがあります。
- 
        
- 
                    デコボコ歯BEFORE & AFTER   SIMULATION SIMULATION- 治療期間:
- 12か月プラン
 - 治療費用一式:
- 508,000円(モニター価格)
 費用補足:
 別途診察料3,500円と事前シミュレーション料18,500円が必要です。
 リスク:
 マウスピース装着による不快感・痛み、歯根吸収等の副作用があります。矯正後に後戻りすることがあります。
- 
        
- 
                    デコボコ歯BEFORE & AFTER   SIMULATION SIMULATION- 治療期間:
- 7か月プラン
 - 治療費用一式:
- 448,000円(モニター価格)
 費用補足:
 別途診察料3,500円と事前シミュレーション料18,500円が必要です。
 リスク:
 マウスピース装着による不快感・痛み、歯根吸収等の副作用があります。矯正後に後戻りすることがあります。
- 
        
- 
                    デコボコ歯BEFORE & AFTER   SIMULATION SIMULATION- 治療期間:
- 14か月プラン
 - 治療費用一式:
- 468,000円(モニター価格)
 費用補足:
 別途診察料3,500円と事前シミュレーション料18,500円が必要です。
 リスク:
 マウスピース装着による不快感・痛み、歯根吸収等の副作用があります。矯正後に後戻りすることがあります。
- 
        
 
         
         
         
         
         
         
         
         
         
         
         
         
         
         
         
         
         
         
         
         
         
         
         
         
         
         
         
         
         
         
         
         
         
         
         
         
         
         
         
         
         
         
         
         
         
         
         
         
         
         
         
         
         
         
         
         
         
         
         
         
         
         
         
         
         
         
         
         
         
         
         
         
         
         
         
         
         
         
         
         
         
         
         
         
         
         
         
         
         
         
         
         
         
         
         
         
         
         
         
         
         
         
         
         
         
         
         
         
         
         
         
         
         
         
         
         
         
         
         
         
         
         
         
         
         
         
         
         
         
         
         
         
         
         
         
         
         
         
         
         
         
         
         
         
         
         
         
         
         
         
         
         
         
         
         
         
         
         
         
         
         
         
         
         
         
         
         
         
         
         
         
         
         
         
         
         
         
         
         
        








