CASE
矯正症例写真
「出っ歯」の症例写真
-
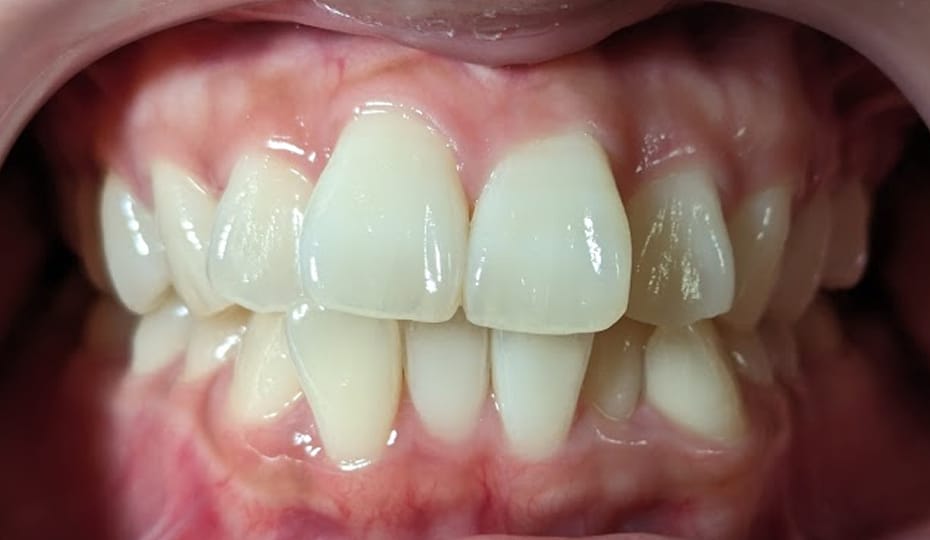
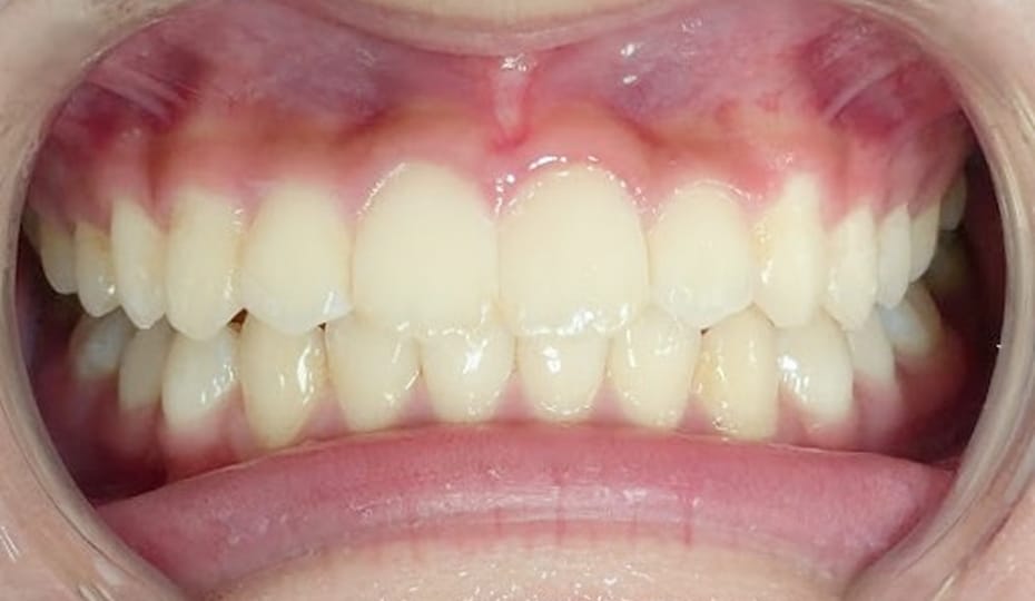
出っ歯・デコボコ歯
BEFORE & AFTER
SIMULATION- 治療期間:
- 12か月プラン
- 治療費用一式:
- 488,000円(モニター価格)
費用補足:
別途診察料3,500円と事前シミュレーション料18,500円が必要です。
リスク:
マウスピース装着による不快感・痛み、歯根吸収等の副作用があります。矯正後に後戻りすることがあります。 -
-
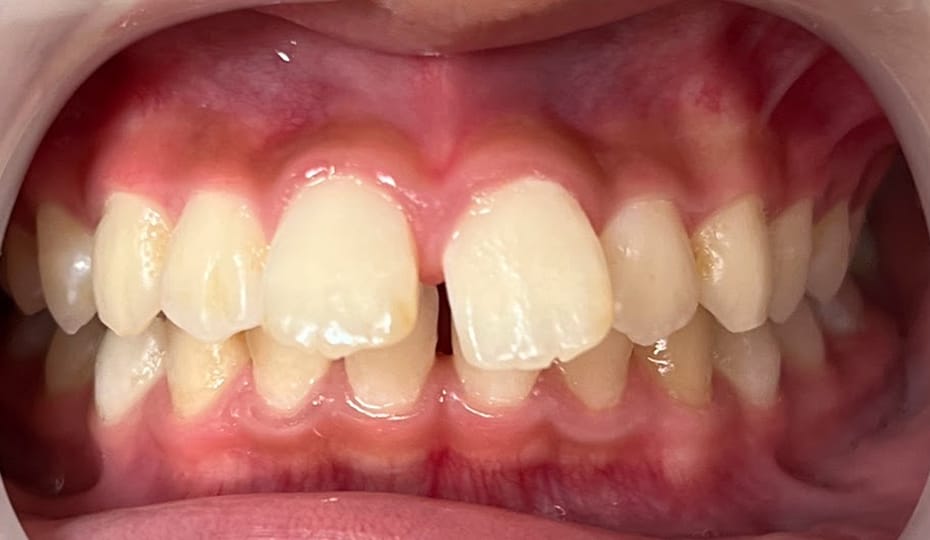
出っ歯・すきっ歯
BEFORE & AFTER
SIMULATION- 治療期間:
- 13か月プラン
- 治療費用一式:
- 608,000円(モニター価格)
費用補足:
別途診察料3,500円と事前シミュレーション料18,500円が必要です。
リスク:
マウスピース装着による不快感・痛み、歯根吸収等の副作用があります。矯正後に後戻りすることがあります。 -









