CASE
矯正症例写真
全ての症例写真
-
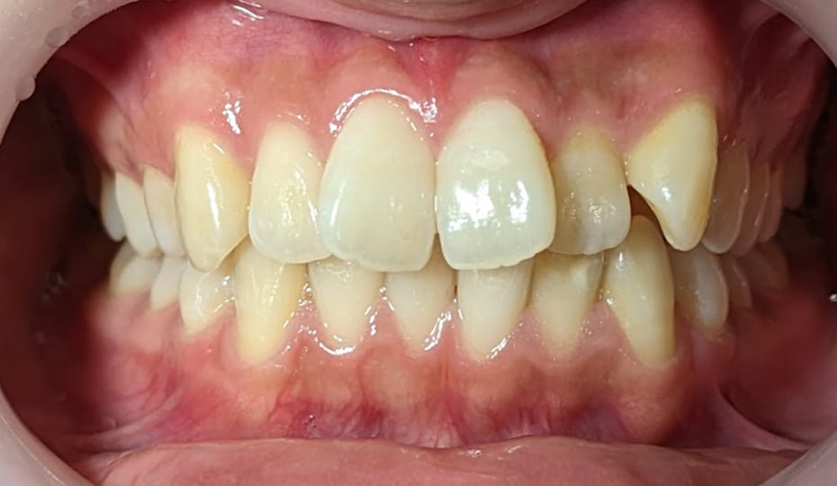
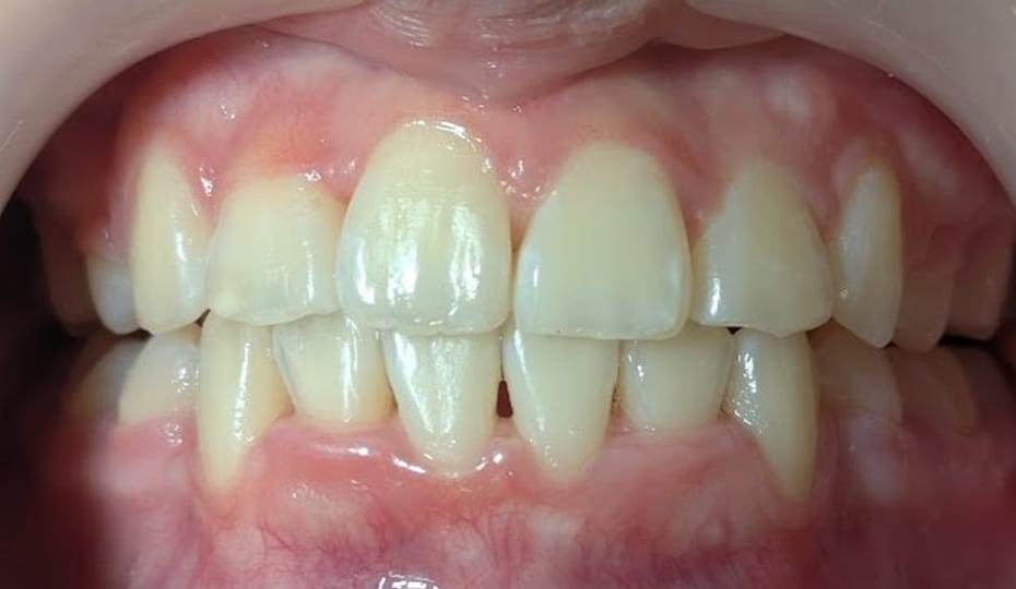
デコボコ歯
BEFORE & AFTER
SIMULATION- 治療期間:
- 13.5か月プラン
- 治療費用一式:
- 608,000円(モニター価格)
費用補足:
別途診察料3,500円と事前シミュレーション料18,500円が必要です。
リスク:
マウスピース装着による不快感・痛み、歯根吸収等の副作用があります。矯正後に後戻りすることがあります。 -
-
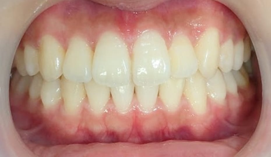
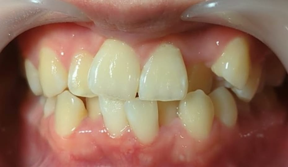
デコボコ歯
BEFORE & AFTER
SIMULATION- 治療期間:
- 10.5か月プラン
- 治療費用一式:
- 478,000円(モニター価格)
費用補足:
別途診察料3,500円と事前シミュレーション料18,500円が必要です。
リスク:
マウスピース装着による不快感・痛み、歯根吸収等の副作用があります。矯正後に後戻りすることがあります。 -









